Dr. Abubakar Siddique

Dr. Abubakar Siddique

Consultant Neurologist, Lahore
Dr. Abubakar Siddique

Consultant Neurologist in Lahore

MBBS, FCPS (Neurology), CRCP (Dow UNI)
General, Stroke and Neurocritical Care Neurologist

Book an Appointment

About Dr. Abubakar Siddique

Dr. Abubakar Siddique is a highly qualified consultant neurologist with years of experience in diagnosing and treating complex neurological disorders. He is committed to providing compassionate, evidence-based care to his patients.

  • MBBS from King Edward Medical University, Lahore
  • FCPS (Neurology), CPSP Pakistan
  • Special interest in Stroke and Vascular Neurology, Nuerocritical care, Epilepsy, Dementia, Headache, Migraine, Multiple Sclerosis, Movment Disorders and etc.

Currently serving at Farooq Hospital, Lahore.

Dr. Abubakar Siddique in Clinic

Areas of Expertise

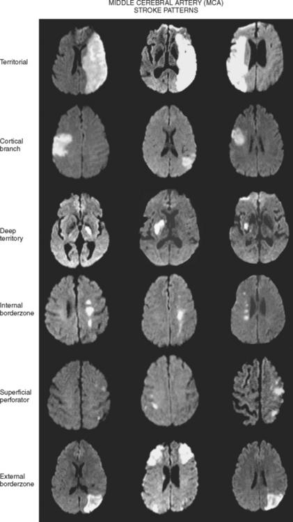
Stroke Management

Expert diagnosis and management of stroke and related complications.

Epilepsy & Seizures

Advanced care for epilepsy, seizure disorders, and EEG monitoring.

Migraine & Headaches

Comprehensive headache clinic for migraine and chronic pain.

Parkinson’s Disease

Diagnosis and long-term management of Parkinson’s disease and other movement disorders.

Multiple Sclerosis

Comprehensive care and advanced therapies for patients with Multiple Sclerosis (MS).

Neuropathy & Nerve Disorders

Evaluation and management of peripheral neuropathy and other nerve disorders.

نیورولوجی ڈیپارٹمنٹ - خدمات

نیورولوجی ڈیپارٹمنٹ میں مندرجہ ذیل بیماریوں کا علاج کیا جاتا ہے:
فالج (Stroke)، لقوہ (Bell’s Palsy)، سر درد (Headache)، آدھے سر کا درد (Migraine)، گردن کا درد (Cervicalgia)، مرگی (Epilepsy)، کمر درد/ اعصابی کمزوری (Sciatica)، ملٹی پل سکلیروسیس (Multiple Sclerosis)، بے خوابی (Insomnia)، نیند کی زیادتی (Hypersomnia)، پارکنسنزم (Parkinsonism)، ڈیمنشیا / الزائمر (Dementia/Alzheimer Disease)، چکر آنا (Vertigo)، زبان کی گنگی (Mutism/Aphasia)، آنکھوں کی بینائی کا کم ہونا (Optic Neuritis)، دوہرا نظر آنا (Diplopia)، ایک آنکھ کا ٹیڑھا ہو جانا (Acute Strabismus)، دماغ کی سوزش (Encephalitis/Meningitis)

اعصابی درد، ہاتھوں اور پیروں میں جھنجھناہٹ یا سن ہونا، جسمانی کمزوری، عجیب و غریب جسمانی حرکات، پیشاب کا کنٹرول ختم ہو جانا، صحیح طرح سے نہ چل سکنا، پیر میں چلنے میں شور، دماغی تھکاوٹ، چال میں تبدیلی، ہاتھوں اور انگلیوں کی کانپاہٹ، کھودا پن، جسم کے حصے کا پھڑپھڑانا وغیرہ۔

Contact & Appointment

+92 316 0660366